糖尿病足治疗与护理PPT课件

糖尿病足治疗与护理PPT课件1 糖尿病足治疗与护理PPT课件2 糖尿病足治疗与护理PPT课件3 糖尿病足治疗与护理PPT课件4 糖尿病足治疗与护理PPT课件5 糖尿病足治疗与护理PPT课件6 糖尿病足治疗与护理PPT课件7 糖尿病足治疗与护理PPT课件8 糖尿病足治疗与护理PPT课件9 糖尿病足治疗与护理PPT课件10
还有 80 页未读 ,您可以 继续阅读 或 下载文档

文档共有90页,由于篇幅有限,只展示前10页。

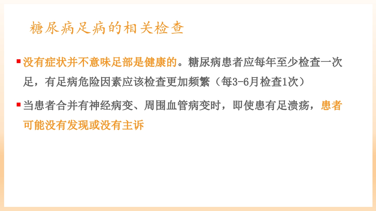
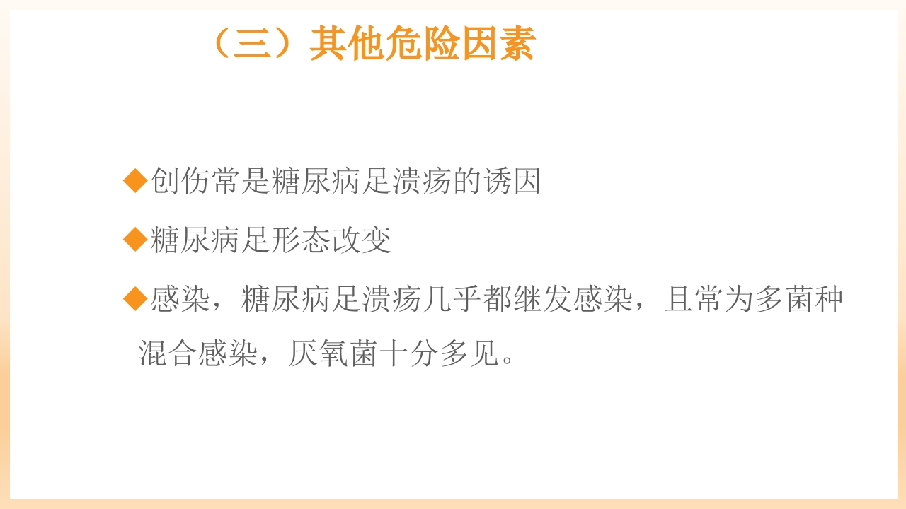
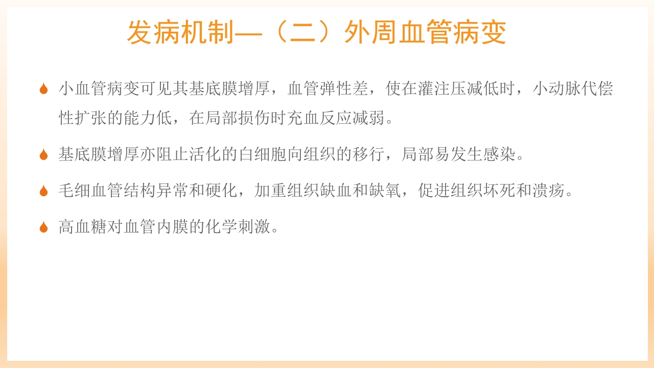
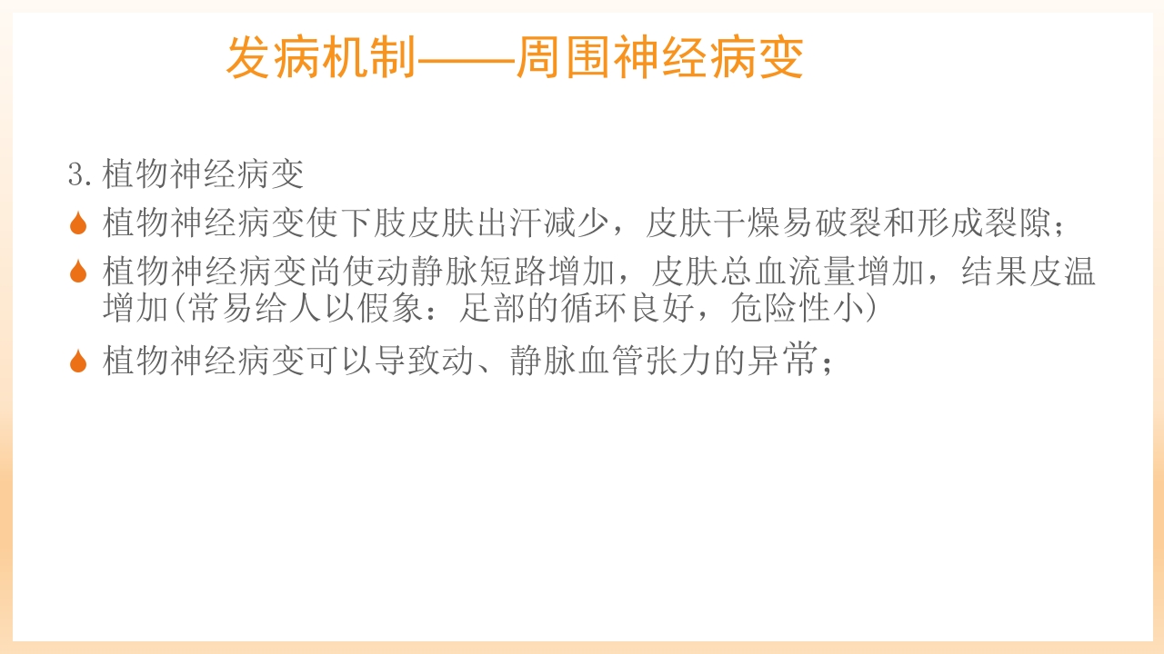
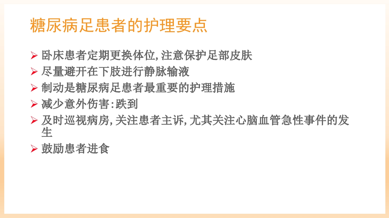
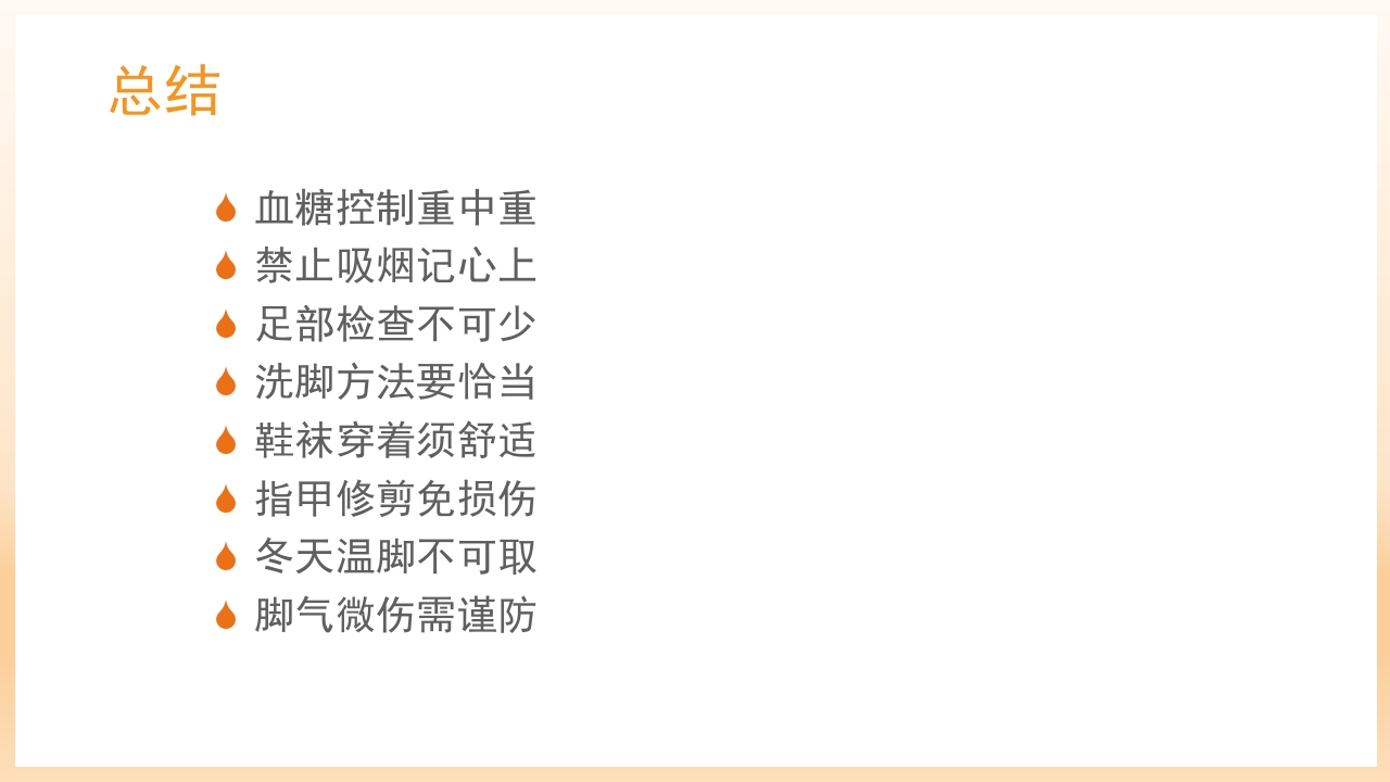
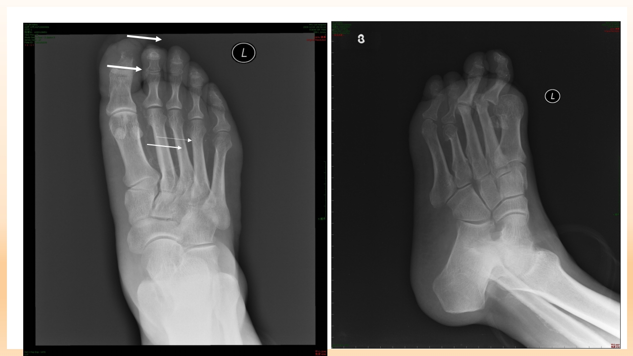
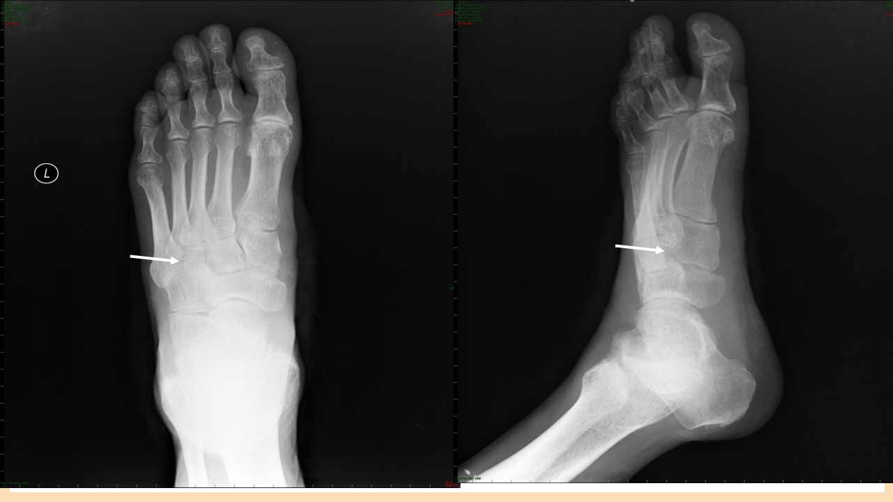
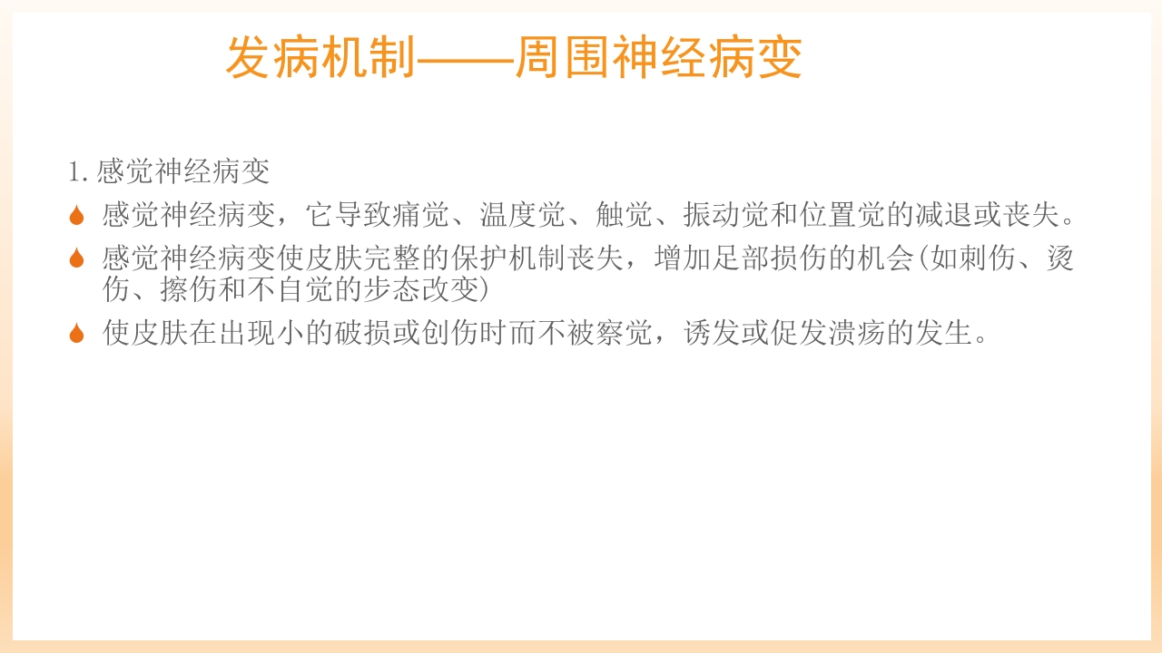
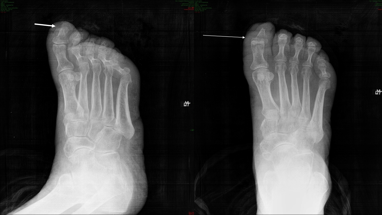
糖尿病足的治疗与护理 目录/content 一 糖尿病足的定义 二 糖尿病足发病机制及诊断? 三 糖尿病足如何治疗? 四 如何预防和护理糖尿尿足? 1 糖尿病足的定义 糖尿病足定义 糖尿病足:主要是与糖尿病下肢远端神经异常和不同程度的外 周血管病变相关的足部感染、溃疡和(或)深层组织破坏。 由于神经营养不良和外伤的共同作用,可引起Charot关节。 是糖尿病最严重的和治疗费用最高的慢性并发症之一。 糖尿病足流行病学资料 国外资料显示: 在所有因糖尿病住院的有关问题中,糖尿病足占到47%。 5%-10%糖尿病患者有不同程度足溃疡,1%的糖尿病患者截 肢。 糖尿病足是许多国家截肢首位原因。 中国糖尿病防治指南,2005,55 糖尿病足流行病学资料 在我国糖尿病足患病率占糖尿病患者的14%, ...

糖尿病足治疗与护理PPT课件是由用户上传到202资源网,本次作品主题是PPT课件,素材大小为9.31 MB,素材总共有90页,素材格式为ppt。授权方式为VIP用户下载,成为202资源网VIP用户马上下载此素材。PPT文件完整,下载后可编辑,更多医疗疾病课件主题素材点击进入。

如需印刷成实物请先认真校稿,避免造成不必要的经济损失。

模板单价:18.00 会员免费
开通会员可免费下载任意模板
  • 页数:90页
  • 大小:9.31 MB
  • 编号:26882
  • 类型:VIP模板
  • 格式:ppt
  • 提示:数字产品不支持退货