慢性肺源性心脏病PPT课件

慢性肺源性心脏病PPT课件1 慢性肺源性心脏病PPT课件2 慢性肺源性心脏病PPT课件3 慢性肺源性心脏病PPT课件4 慢性肺源性心脏病PPT课件5 慢性肺源性心脏病PPT课件6 慢性肺源性心脏病PPT课件7 慢性肺源性心脏病PPT课件8 慢性肺源性心脏病PPT课件9 慢性肺源性心脏病PPT课件10
还有 40 页未读 ,您可以 继续阅读 或 下载文档

文档共有50页,由于篇幅有限,只展示前10页。

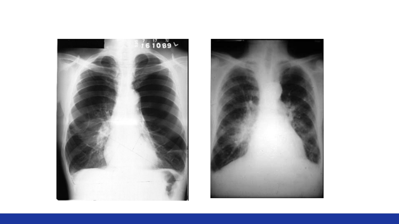
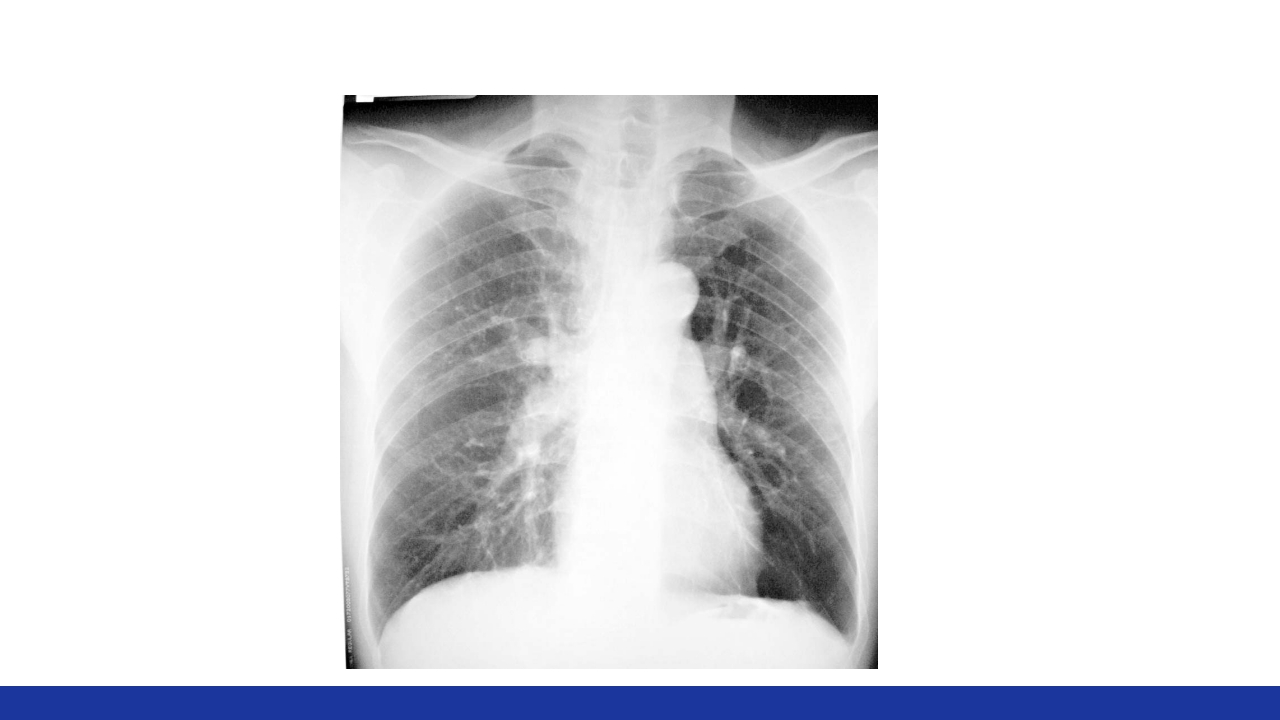
慢性肺源性心脏病 Chronic Pulmonary Heart Disease 主讲人:XXX 教学目标 【掌握】 1.慢性肺源性心脏病病人的护理护理评估。 2.慢性肺源性心脏病病人的临床表现与并发症。 3.慢性肺源性心脏病病人的护理措施。 【熟悉】 慢性肺源性心脏病的主要护理诊断及治疗要点; 【了解】 慢性肺源性心脏病的病因及发病机理。 案例 男性,63岁。慢性咳嗽、咳痰20余年,逐渐加重的呼吸困难5年。有吸 烟史40年左右。T 36.2℃,BP 130/80mmHg,神志清,胸廓呈桶状,双 肺叩诊过清音,触觉语颤减弱,肺泡呼吸音减弱,肺动脉瓣区第2心音 亢进,三尖瓣区可闻及收缩期杂音。血白细胞10×109/L,中性粒细胞 70%。X线胸片:双肺透亮度增高,肺动脉扩张。 问题:①临床诊断? ②主要护理问题? ③健康指导? 定义...

慢性肺源性心脏病PPT课件是由用户上传到202资源网,本次作品主题是PPT课件,素材大小为3.17 MB,素材总共有50页,素材格式为pptx。授权方式为VIP用户下载,成为202资源网VIP用户马上下载此素材。PPT文件完整,下载后可编辑,更多医疗疾病课件主题素材点击进入。

如需印刷成实物请先认真校稿,避免造成不必要的经济损失。

模板单价:25.00 会员免费
开通会员可免费下载任意模板
  • 页数:50页
  • 大小:3.17 MB
  • 编号:26583
  • 类型:VIP模板
  • 格式:pptx
  • 提示:数字产品不支持退货