湿疮中医护理查房(严重湿疹)ppt课件

湿疮中医护理查房(严重湿疹)ppt课件1 湿疮中医护理查房(严重湿疹)ppt课件2 湿疮中医护理查房(严重湿疹)ppt课件3 湿疮中医护理查房(严重湿疹)ppt课件4 湿疮中医护理查房(严重湿疹)ppt课件5 湿疮中医护理查房(严重湿疹)ppt课件6 湿疮中医护理查房(严重湿疹)ppt课件7 湿疮中医护理查房(严重湿疹)ppt课件8 湿疮中医护理查房(严重湿疹)ppt课件9 湿疮中医护理查房(严重湿疹)ppt课件10
还有 32 页未读 ,您可以 继续阅读 或 下载文档

文档共有42页,由于篇幅有限,只展示前10页。

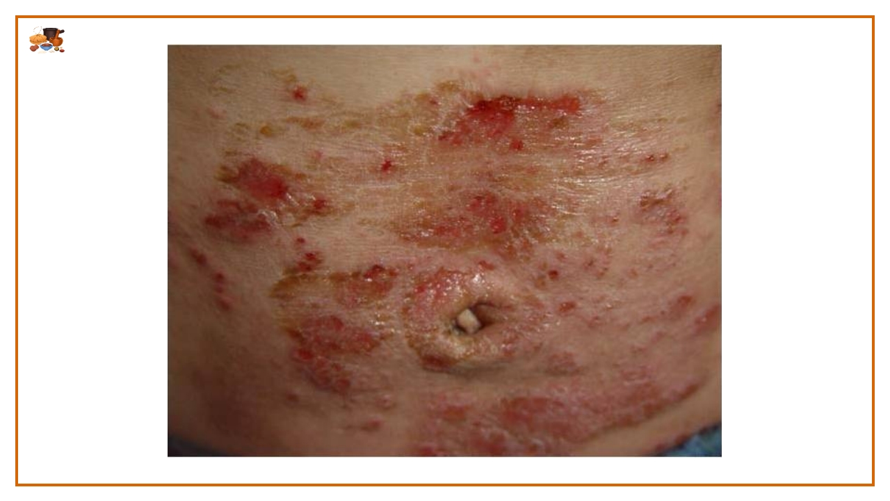
弘-扬-中-华-传-统-文-化 皮肤科护理查房 湿 疮 (湿热蕴结证) 汇报人:xxxx 时间:20XX 一、查房目的 熟悉湿疮的病因及发病机制 掌握湿疮的临床护理及辩证施护 掌握湿疮的护理重点及难点, 提高护士专科能力。 熟悉湿疮的国际国内新进展 查房流程 1 责任护士汇报病史 2 病情分析阐述 3 相关知识链接提问、讨论 4 查房小洁 简要病史(一) 一般情况 男性,62岁,黎族,住院号:115,医保支 付,三亚人,已婚已育,孩子及家人体健。 入院日期:2017-01-13 中医诊断:湿疮(湿热蕴结) 西医诊断:严重湿疹 简要病史(二) 主诉:全身散在红斑丘疹渗出伴瘙痒4月,加重2天。 现病史:患者4月前因饮酒后摔倒,头皮部擦伤, 随后右侧面部及右上肢出现红肿,皮温升高, 无明显疼痛,瘙痒明显,...

湿疮中医护理查房(严重湿疹)ppt课件是由用户上传到202资源网,本次作品主题是PPT课件,素材大小为4.83 MB,素材总共有42页,素材格式为pptx。授权方式为VIP用户下载,成为202资源网VIP用户马上下载此素材。PPT文件完整,下载后可编辑,更多医疗疾病课件主题素材点击进入。

如需印刷成实物请先认真校稿,避免造成不必要的经济损失。

模板单价:18.00 会员免费
开通会员可免费下载任意模板
  • 页数:42页
  • 大小:4.83 MB
  • 编号:25891
  • 类型:VIP模板
  • 格式:pptx
  • 提示:数字产品不支持退货