急性胰腺炎护理查房PPT课件下载

急性胰腺炎护理查房PPT课件下载1 急性胰腺炎护理查房PPT课件下载2 急性胰腺炎护理查房PPT课件下载3 急性胰腺炎护理查房PPT课件下载4 急性胰腺炎护理查房PPT课件下载5 急性胰腺炎护理查房PPT课件下载6 急性胰腺炎护理查房PPT课件下载7 急性胰腺炎护理查房PPT课件下载8 急性胰腺炎护理查房PPT课件下载9 急性胰腺炎护理查房PPT课件下载10
还有 67 页未读 ,您可以 继续阅读 或 下载文档

文档共有77页,由于篇幅有限,只展示前10页。

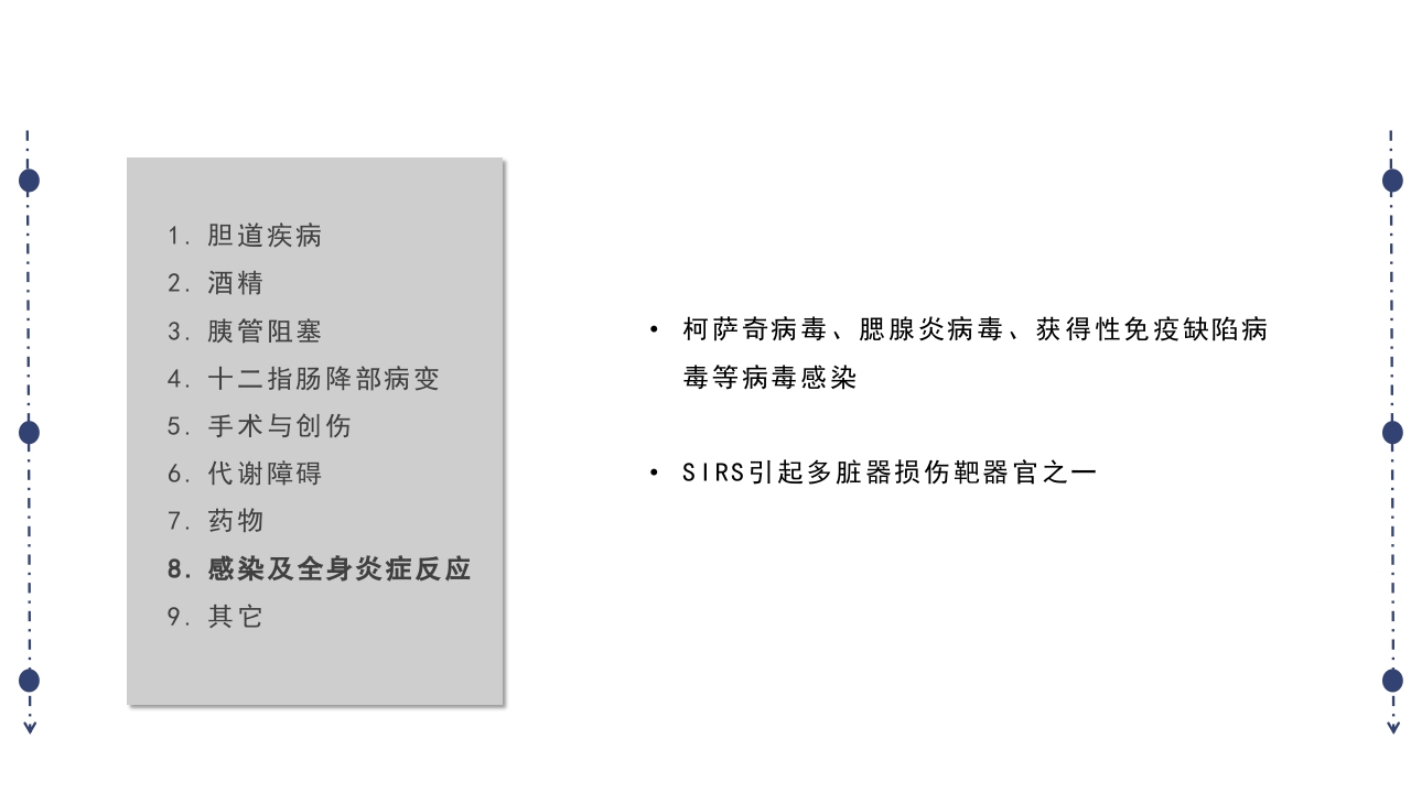
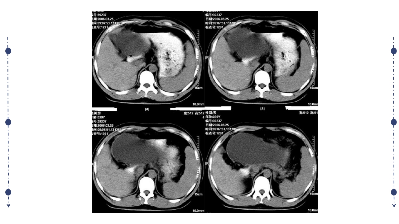
汇报人:xxx 病因 发病机制 病理变化 临床表现,实验室检查,辅助检查 严重程度评估 诊断及鉴别诊断 治疗 急性胰腺炎(AP)定义 急性胰腺炎(acute pancreatitis, AP)是多种病因导致胰酶激活,胰腺组 织自身消化所致的胰腺局部炎症反应(水肿、出血及坏死),病情较重可发 生全身炎症反应综合征(SIRS),并可伴有多脏器功能障碍的疾病。 临床表现以急性上腹痛、恶心、呕吐、发热、血 清胰酶增高等为特点。 常在饱食、脂餐、饮酒后发生。 胰腺的解剖位置 胰管、胆总管共同开口于十二 指肠大乳头肝胰壶腹部 共同通道学说(70-80%) 1. 胆道疾病 2. 酒精 3. 胰管阻塞 4. 十二指肠降部病变 5. 手术与创伤 6. 代谢障碍 7. 药物 8. 感染及全身炎症反应 9....

急性胰腺炎护理查房PPT课件下载是由用户上传到202资源网,本次作品主题是PPT课件,素材大小为2.85 MB,素材总共有77页,素材格式为pptx。授权方式为VIP用户下载,成为202资源网VIP用户马上下载此素材。PPT文件完整,下载后可编辑,更多医疗疾病课件主题素材点击进入。

如需印刷成实物请先认真校稿,避免造成不必要的经济损失。

模板单价:18.00 会员免费
开通会员可免费下载任意模板
  • 页数:77页
  • 大小:2.85 MB
  • 编号:24245
  • 类型:VIP模板
  • 格式:pptx
  • 提示:数字产品不支持退货