生产性粉尘与职业性肺部疾患PPT课件下载

生产性粉尘与职业性肺部疾患PPT课件下载1 生产性粉尘与职业性肺部疾患PPT课件下载2 生产性粉尘与职业性肺部疾患PPT课件下载3 生产性粉尘与职业性肺部疾患PPT课件下载4 生产性粉尘与职业性肺部疾患PPT课件下载5 生产性粉尘与职业性肺部疾患PPT课件下载6 生产性粉尘与职业性肺部疾患PPT课件下载7 生产性粉尘与职业性肺部疾患PPT课件下载8 生产性粉尘与职业性肺部疾患PPT课件下载9 生产性粉尘与职业性肺部疾患PPT课件下载10
试读已结束,还剩19页未读,您可下载完整版后进行离线阅读

文档共有29页,由于篇幅有限,只展示前10页。

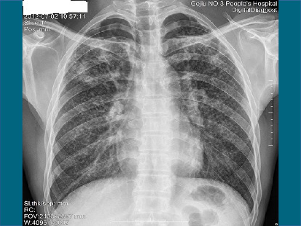
一、生产性粉尘与职业性肺部疾患11、生产性粉尘的基本概念、生产性粉尘的基本概念生产性粉尘是专指在人类生产活动产生的能较长时间悬浮在生产环境中的固体微粒。它是污染生产环境、危害劳动者健康的重要职业病危害因素。根据其化学性质分为⑴无机粉尘,如矽尘,含碳粉尘;⑵有机粉尘等两大类;⑶混合性粉尘等三大类。22、生产性粉尘的来源、生产性粉尘的来源就其产生方式有以下几种:(1)固体物质的机械加工或爆破、破碎、磨粉等。(2)物质加热时产生的蒸气在空气中凝结或被氧化所形成的尘粒,如金属熔炼,焊接、浇铸等。(3)有机物质不完全燃烧所形成的微粒,如煤类等燃烧时所产生的烟尘等。水泥制造业:从生料煅烧、熟料冷却、熟料粉磨、水泥包装、水泥均化、水泥煤粉制备、水泥输送都有粉尘产生。33、...

生产性粉尘与职业性肺部疾患PPT课件下载是由用户上传到202资源网,本次作品主题是PPT课件,素材大小为2.39 MB,素材总共有29页,素材格式为ppt。授权方式为VIP用户下载,成为202资源网VIP用户马上下载此素材。PPT文件完整,下载后可编辑,更多医疗疾病课件主题素材点击进入。

如需印刷成实物请先认真校稿,避免造成不必要的经济损失。

模板单价:18.00 会员免费
开通会员可免费下载任意模板
  • 页数:29页
  • 大小:2.39 MB
  • 编号:21364
  • 类型:VIP模板
  • 格式:ppt
  • 提示:数字产品不支持退货