股骨肌坏死PPT课件

股骨肌坏死PPT课件1 股骨肌坏死PPT课件2 股骨肌坏死PPT课件3 股骨肌坏死PPT课件4 股骨肌坏死PPT课件5 股骨肌坏死PPT课件6 股骨肌坏死PPT课件7 股骨肌坏死PPT课件8 股骨肌坏死PPT课件9 股骨肌坏死PPT课件10
试读已结束,还剩31页未读,您可下载完整版后进行离线阅读

文档共有41页,由于篇幅有限,只展示前10页。

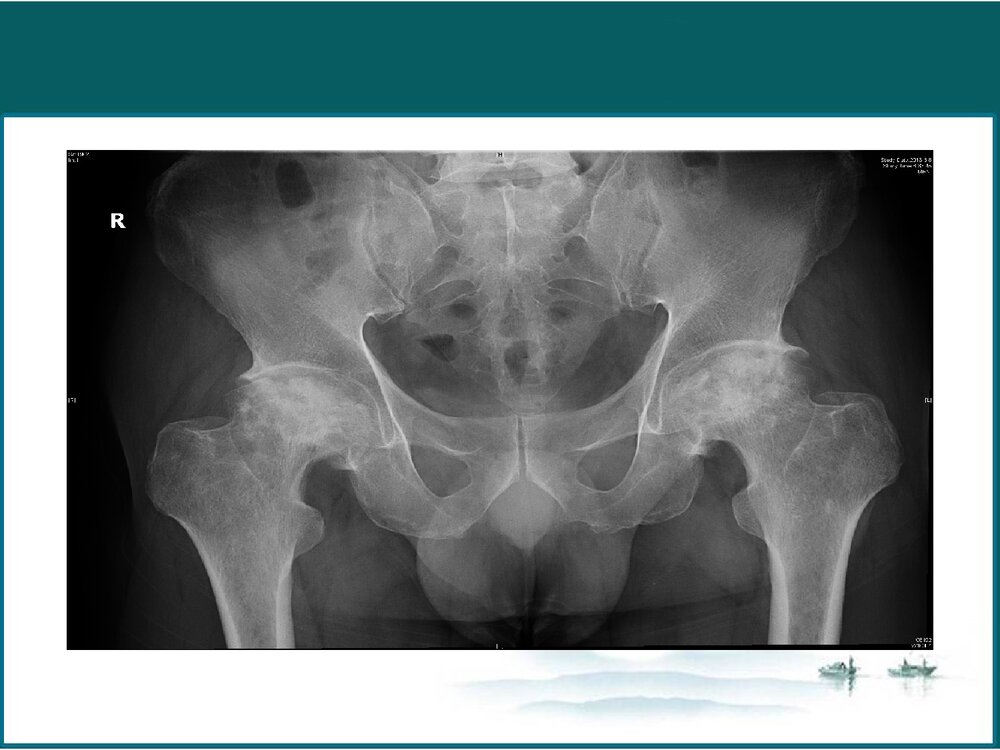
股骨头坏死股骨头坏死•燕达医院•陈明梁病历介绍患者男,52岁,因“双髋疼痛、活动障碍4年,加重1年”,门诊以“双侧股骨头坏死”收入院。患者双髋疼痛、活动受限,伸0度,屈90度,内收10度,外展10度,外旋0度,内旋0度,行走跛行。“4”字实验(+)、Thomas症(+),患者双下肢感觉正常,双足背动脉搏动好。双髋关节X线示:双股骨头坏死(Ⅳ)。病历介绍•4年前出现双侧髋关节疼痛伴有活动受限,诊断为“双股骨头坏死”,给予中药保守治疗,效果不理想。2年前患者行双髋关节血管介入治疗,术后效果可,近1年来又出现双侧髋关节疼痛不适,活动后加重,为求进一步治疗来我院。病历介绍患者否认肝炎、结核等传染病史。无药物、食物过敏史否认输血史,预防接种随当地。概述概述  股骨头坏死(ONFH)也称为股骨...

股骨肌坏死PPT课件是由用户上传到202资源网,本次作品主题是PPT课件,素材大小为13.66 MB,素材总共有41页,素材格式为ppt。授权方式为VIP用户下载,成为202资源网VIP用户马上下载此素材。PPT文件完整,下载后可编辑,更多医疗疾病课件主题素材点击进入。

如需印刷成实物请先认真校稿,避免造成不必要的经济损失。

模板单价:18.00 会员免费
开通会员可免费下载任意模板
  • 页数:41页
  • 大小:13.66 MB
  • 编号:20949
  • 类型:VIP模板
  • 格式:ppt
  • 提示:数字产品不支持退货