新生儿肺炎PPT课件

新生儿肺炎PPT课件1 新生儿肺炎PPT课件2 新生儿肺炎PPT课件3 新生儿肺炎PPT课件4 新生儿肺炎PPT课件5 新生儿肺炎PPT课件6 新生儿肺炎PPT课件7 新生儿肺炎PPT课件8 新生儿肺炎PPT课件9 新生儿肺炎PPT课件10
试读已结束,还剩9页未读,您可下载完整版后进行离线阅读

文档共有19页,由于篇幅有限,只展示前10页。

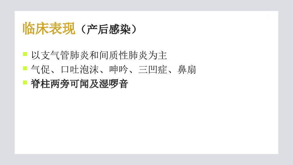
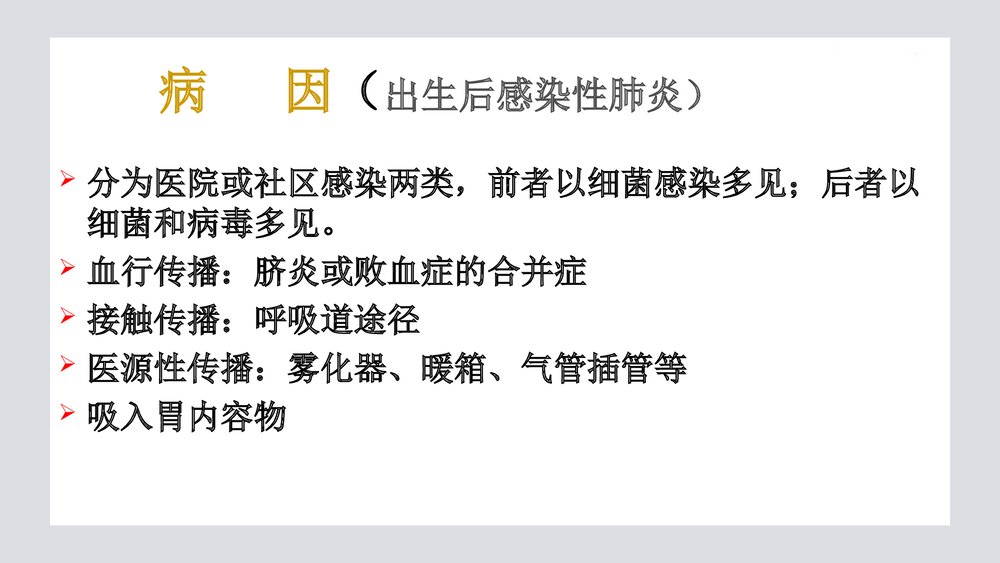
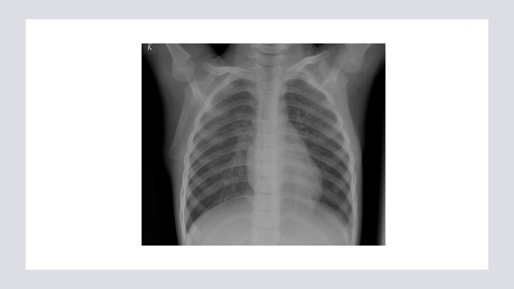
新生儿肺炎新生儿肺炎汇报人:xxx时间:xxx为我国新生儿最常见疾病之一,是新生儿死亡的主要原因。新生儿肺炎可发生在宫内、分娩过程中或出生后,由细菌、病毒、霉菌等引起。病因﹙宫内感染性肺炎﹚血行(胎盘)传播:病毒最常见,巨细胞病毒、单纯疱疹、肠道病毒、腺病毒;肺炎多为全身感染的一部分。吸入污染的羊水与窒息和污染羊水下行性吸入有关;病原为孕母阴道细菌(大肠埃希菌、克雷白菌、B组链球菌、金葡菌)和病毒病因(产时感染性肺炎)见于发热、患羊膜炎孕妇娩出的新生儿或急产、断脐消毒不严分娩过程中吸入阴道内污染的分泌物病原体:杆菌、B组链球菌、沙眼衣原体、解脲脲原体、TORCH病毒病因(出生后感染性肺炎)分为医院或社区感染两类,前者以细菌感染多见;后者以细菌和病毒多见。血行...

新生儿肺炎PPT课件是由用户上传到202资源网,本次作品主题是PPT课件,素材大小为3.46 MB,素材总共有19页,素材格式为ppt。授权方式为VIP用户下载,成为202资源网VIP用户马上下载此素材。PPT文件完整,下载后可编辑,更多医疗疾病课件主题素材点击进入。

如需印刷成实物请先认真校稿,避免造成不必要的经济损失。

模板单价:18.00 会员免费
开通会员可免费下载任意模板
  • 页数:19页
  • 大小:3.46 MB
  • 编号:20816
  • 类型:VIP模板
  • 格式:ppt
  • 提示:数字产品不支持退货